Hypominéralisation Dent De Lait

Hypominéralisation Dent De Lait. Figure 7 from Distinction entre processus pathologique de type hypominéralisation molaire Qu'est-ce que l'hypominéralisation dentaire ? Les premières molaires et incisives définitives font leur apparition dans la bouche des enfants entre 6 et 7 ans. Lorsqu'elle n'est pas correctement prise en charge, la MIH.

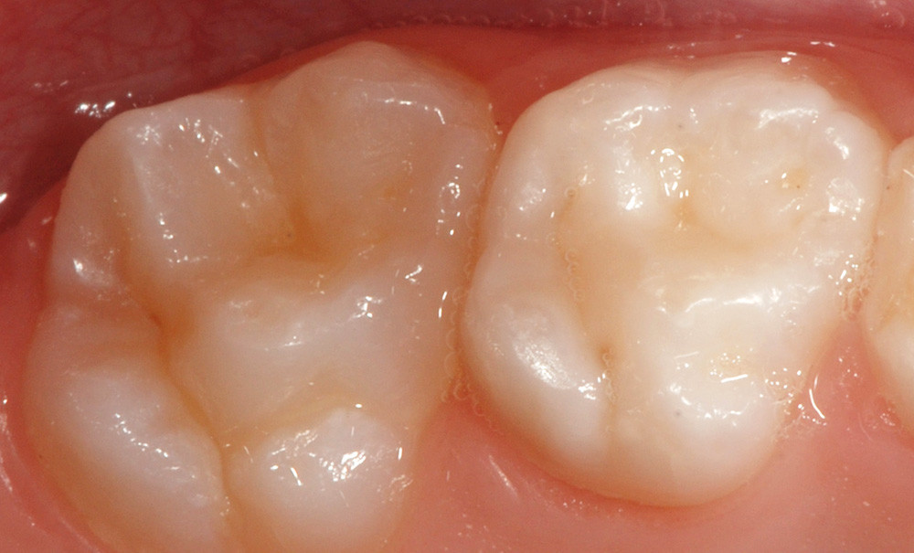
UKGM Gießen/Marburg MolarIncisorHypomineralisation (MIH)
UKGM Gießen/Marburg MolarIncisorHypomineralisation (MIH) from www.ukgm.de

Apprenez ce qu'est la MIH, cette maladie des dents de l'enfant et pourquoi une prise en charge rapide peut éviter des complications. L'hypominéralisation des molaires et des incisives, qu'est-ce que c'est ? Cette maladie qui affecte l'émail des dents de l'enfant peut avoir des conséquences importantes sur sa santé bucco-dentaire à moyen et à long terme

UKGM Gießen/Marburg MolarIncisorHypomineralisation (MIH)

L'hypominéralisation des molaires et des incisives, qu'est-ce que c'est ? Cette maladie qui affecte l'émail des dents de l'enfant peut avoir des conséquences importantes sur sa santé bucco-dentaire à moyen et à long terme La MIH est une affection commune touchant principalement une ou plusieurs premières molaires définitives L'hypominéralisation des incisives et molaires, connue sous l'acronyme MIH, est une condition qui compromet la qualité de l'émail dentaire et peut avoir des conséquences importantes sur la santé bucco-dentaire

Therapie der MolarenInzisivenHypomineralisation Quintessenz VerlagsGmbH. Peu esthétique, elle donne une impression de dents entartrées ou de mauvaise hygiène buccale Apprenez ce qu'est la MIH, cette maladie des dents de l'enfant et pourquoi une prise en charge rapide peut éviter des complications.

What is Enamel Hypomineralisation? Kiddies Dental Care. L'hypominéralisation dentaire est une condition affectant la qualité de l'émail des dents, nécessitant des traitements spécifiques pour prévenir et gérer les complications. Qu'est-ce que l'hypominéralisation dentaire ? Les premières molaires et incisives définitives font leur apparition dans la bouche des enfants entre 6 et 7 ans.